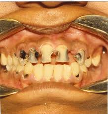
La caries dental es una desmineralización de la superficie del diente causada por bacterias (Placa bacteriana) que se adhieren a la superficie dental.
La caries es una enfermedad multifactorial que se caracteriza por la destrucción de los tejidos duros del diente. La destrucción química dental se asocia a la ingesta de azúcares y ácidos contenidos en bebidas y alimentos.
La caries dental se asocia también a errores en las técnicas de higiene así como pastas dentales inadecuadas, falta de cepillado dental, ausencia de hilo
dental, así como también con una etiología genética.
Se estudia aún la influencia del pH de la saliva en relación a la caries. Tras la destrucción del esmalte ataca a la dentina y alcanza la pulpa dentaria produciendo su inflamación, pulpitis, y posterior necrosis, es decir la muerte pulpar. Si el diente no es tratado puede llevar posteriormente a la inflamación del área que rodea el ápice (extremo de la raíz) produciéndose una periodontitis apical, y pudiendo llegar a ocasionar un absceso.
El esmalte dental: es un tejido duro, acelular (por lo tanto no es capaz de sentir estímulos), que cubre la superficie de la corona del diente.
La dentina: la dentina es un tejido duro y con cierta elasticidad, de color blanco amarillento, no vascularizado, que está inmediatamente por debajo del esmalte. Es un tejido que en su parte más interna contiene los procesos de una célula llamada odontoblasto localizada en la pulpa.
El cemento radicular: es un tejido duro, parecido al hueso, que rodea la superficie externa de la raíz. Está en íntimo contacto con unas fibras llamadas ligamento periodontal que une este tejido al hueso.
Etiología de la caries:
La caries dental es una enfermedad multifactorial, lo que significa que deben concurrir varios factores para que se desarrolle. Hasta el momento las investigaciones han logrado determinar cuatro factores fundamentales:
-Anatomía dental: la composición de su superficie y su localización hace que los dientes retengan más o menos placa dental. Por ejemplo, los dientes posteriores (molares y premolares), son más susceptibles a la caries ya que su morfología es más anfractuosa y además presentan una cara oclusal donde abundan los surcos, fosas, puntos y fisuras, y la lengua no limpia tan fácilmente su superficie; las zonas que pueden ser limpiadas por las mucosas y por la lengua se denomina zona de autoclisis. Además es necesario nombrar el rol del hospedero a una mayor o menor incidencia, debido a una susceptibilidad genética heredada o bien por problemas socioeconómicos, culturales y relacionados al estilo de vida (estos últimos condicionarán sus hábitos dietéticos y de higiene oral).
-Tiempo: recordemos que la placa dental es capaz de producir caries debido a la capacidad acidogénica y acidoresistente de los microorganismos que la colonizan, de tal forma que los carbohidratos fermentables en la dieta no son suficientes, sino que además éstos deben actuar durante un tiempo prolongado para mantener un pH ácido constante a nivel de la interfase placa - esmalte. De esta forma el elemento tiempo forma parte primordial en la etiología de la caries. Un órgano dental es capaz de resistir 2 h por día de desmineralización sin sufrir lesión en su esmalte, la saliva tiene un componente buffer o amortiguador en este fenómeno pero el cepillado dental proporciona esta protección, es decir, 30 min posterior a la ingesta de alimentos el órgano dental tiene aún desmineralización, la presencia de azúcar en la dieta produce 18 h de desmineralización posterior al cepillado dental asociado como destrucción química
dental independientemente de la presencia de un cepillado de calidad en el paciente.
-Dieta: la presencia de carbohidratos fermentables en la dieta condiciona la aparición de caries, sin embargo los almidones no la producen. Pero es necesario aclarar que el metabolismo de los hidratos de carbono se produce por una enzima presente en la saliva denominada alfa amilasa salival o ptialina, esta es capaz de degradar el almidón hasta maltosa y de acuerdo al tiempo que permanezca el bolo en la boca podría escindirla hasta glucosa, esto produce una disminución en el pH salival que favorece la desmineralización del esmalte. Un proceso similar sucede a nivel de la placa dental, donde los microorganismos que la colonizan empiezan a consumir dichos carbohidratos y el resultado de esta metabolización produce ácidos que disminuyen el pH a nivel de
la interfase placa - esmalte. La persistencia de un pH inferior a 7 eventualmente produce la desmineralización del esmalte. Además la presencia de hidratos de carbono no es tan importante cuando la frecuencia con la que el individuo consume se limita a cuatro momentos de azúcar como máximo, de esta manera la disminuc
ión brusca del pH puede restablecerse por la acción de los sistemas
amortiguadores sal
ivales que son principalmente el ácido carbónico/bicarbonato y el sistema del fosfato.
-Bacterias: aquellas capaces de adherirse a la película adquirida (formada por proteínas que pre
ci
p
itaron sobre la superficie del esmalte) y congregarse formando un "biofilm" (comunidad cooperativa) de esta m
anera evaden los sistemas de defensa del huésped que consisten principalmente en la remoción de bacterias saprófitas y/o patógenas no adheridas por la saliva siendo estas posteriormente deglutidas. Inicialmente
en el biofilm se encuentra una gran cantidad de bacterias gram positivas con poca capacidad de formar ácidos orgánicos y polisacáridos extracelulares, pero estas posteriormente, debido a las condiciones de anaerobiosis de las capas más profundas son reemplazadas por un predominio de bacterias gram negativas y es en este momento cuando se denominada a la placa "cariogénica" es decir capaz de producir caries dental. Las bacterias se adhieren entre sí pero es necesario una colonización primaria a cargo del Streptococcus sanguis perteneciente a
la familia de los mutans además se encuentran Lactobacillus acidophilus, Actinomyces naeslundii, Actinomyces viscosus, etc.
En condiciones fisiológicas la ausencia de uno de estos factores limita la aparición o desarrollo de caries.
